Skip to main content
En savoir plus sur

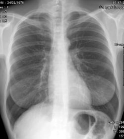
La radiographie

De quoi s'agit-il?

simple, indolore, très informatif...

Elle permet la visualisation d'un organe, d'un os ou de toute autre partie du corps, sur un écran d'ordinateur puis peut être imprimée.

Cet examen complètement indolore peut être potentiellement utilisé par toutes les spécialités médicales pour affiner un diagnostic.

Les radiographies sont fréquemment requises entre autres, pour la recherche d'une fracture dans le cadre d'un traumatisme, pour l'étude des poumons au cours d'une radiographie thoracique ou pour visualiser l'abdomen au cours d'un cliché appelé ASP pour Abdomen Sans Préparation.


Le déroulement de l'examen

Un examen d'une durée de 5 minutes dans la majorité des cas
  • Après vous avoir fait entrer dans la salle de préparation, le médecin ou le manipulateur vous précise les vêtements à enlever si nécessaire.

  •  

    Selon la partie du corps à examiner le médecin ou le manipulateur vous mettra dans une certaine position, debout ou allongé sur la table d’examen.

  •  

    L’équipe médicale est derrière la vitre, le manipulateur vous voit et vous entend parfaitement.


Physical Therapy

le jour de l’examen :


    • la demande de votre médecin (ordonnance, lettre, …)
    •  le dossier radiologique en votre possession (radiographies, échographies, scanners et IRM),
Rehabilitation & Sports